„Diagnozujemy z pasją
Patrzymy w przyszłość medycyny”
Najnowsze wpisy ze szkoleń
- Gruczolakorak in situ szyjki macicy (łac.: adenocarcinoma in situ [AIS] colli uteri)
Cechy cytologiczne: Gruczoły szyjki macicy wyścielone są przez nieprawidłowe, kolumnowatego kształtu komórki gruczołowe (Fot. 1). Pod względem cytologicznym przypominają one raka gruczołowego inwazyjnego. Ich jądra komórkowe są hiperchromatyczne, wydłużone, cygarowatego kształtu i posiadają grube ziarnistości chromatyny. Stosunek jądrowo-cytoplazmatyczny przesunięty jest na rzecz jądra. W cytoplazmie występują złogi śluzu wewnątrzkomórkowego (Fot. 2). Patologiczne figury podziałów mitotycznych… Dowiedz się więcej: Gruczolakorak in situ szyjki macicy (łac.: adenocarcinoma in situ [AIS] colli uteri) - Pracownia Genetyki i Biologii Molekularnej
Pracownia Genetyki i Biologii Molekularnej w Zakładzie Patomorfologii w Krośnie . Pracownia Genetyki i Biologii Molekularnej . Dyskusja w gronie genetyków i biologów molekularnych . Wynik testu genotypowania wirusa HPV przeprowadzony metodą real-time PCR Wynik testu dodatni . .

Dr n. biol. Beata Niewęgłowska-Guzik
Kieruje Pracownią Cytodiagnostyki. Specjalistka IIo z cytomorfologii; odbyte kursy oraz staże z zakresu cytodiagnostyki w CMKP w Warszawie oraz w innych referencyjnych jednostkach; dyplom ukończenia kursu cytologii exfoliatywnej Polskiej Szkoły Cytologii Klinicznej; 8 lat pracy na etecie naukowo-dydaktycznym w Zakładzie Anatomii i Cytologii w Lublinie
Lek. med. Andrzej Guzik
Kieruje zespołem pracowników i Pracownią Histopatologii. Absolwent Wydziału Lekarskiego Akademii Medycznej w Lublinie (obecnie Uniwersytet Medyczny w Lublinie), 1991 rok. Specjalista IIo w zakresie patomorfologii, histopatologii i cytodiagnostyki, ginekolog-położnik; 3-letni staż w Katedrze Patomorfologii CM UJ w Krakowie; odbyte kursy oraz staże z zakresu histopatologii i cytodiagnostyki w CMKP w Warszawie oraz w innych referencyjnych jednostkach; 6 lat pracy na Oddziale Ginekologiczno-Położniczym jako asystent.

Aktualności
test
jjjjjj
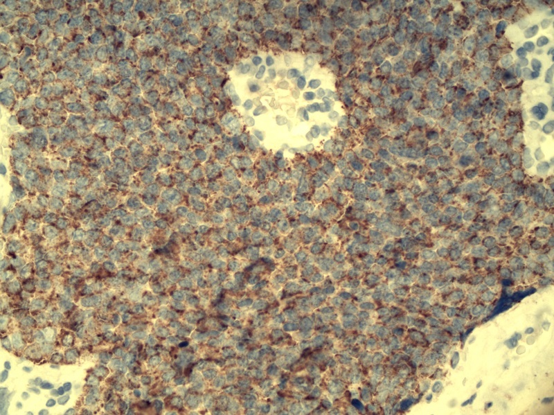
Nerwiak węchowy zarodkowy – guz lewej jamy nosowej u 45-letniej kobiety
Do badania histopatologicznego otrzymano trzy polipowato uformowane, kruche, barwy białawo-szarawej fragmenty tkankowe o łącznej średnicy…
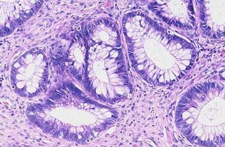
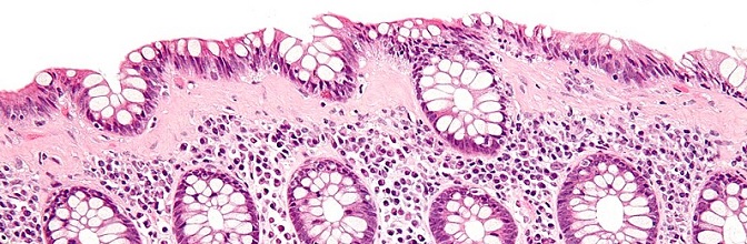
Mikroskopowe zapalenie jelita grubego okiem klinicysty i patomorfologa
W dniu 20 grudnia 2024 r. w Rzeszowie odbyło się zebranie naukowo-szkoleniowe Polskiego Towarzystwa Patologów…
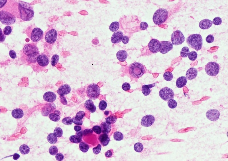
Nowe spojrzenie na cytologię tarczycy po zmianach w klasyfikacji tarczycy WHO 2022
W dniu 4 października 2024 r. w Rzeszowie odbyło się zebranie naukowo-szkoleniowe Polskiego Towarzystwa Patologów…






